
The present article explores the structure and function of a vegan silk material, including testing its ability to support wound healing and barrier repair in response to UV and pollution. It also examines effects on skin irritation and the appearance of skin imperfections such as pores and breakouts.
Silk is a smooth, delicate and lustrous material made of a protein fiber called fibroin. The molecule combines unique properties such as a high level of elasticity, resistance and lightness. These characteristics are related to the material’s 3D structure – a complex organization made of alternating amorphous and crystalline areas characterized by α-helices and β-sheets, conferring elasticity and strength, respectively.
Natural silk proteins have long been used in hair and skin care but until now, this ingredient has generally been sourced from animals (silkworms) and necessarily hydrolyzed to incorporate it in formulas – and, in doing so, losing native protein main properties.
More recently, through biotechnology, a bio-inspired vegan silk-like proteina was developed using the same protein scheme as natural silk8, 9 to address the long-standing consumer drive to achieve perfect skin (see Figure 1, below). Indeed, this desire persists, as a recent in-house survey7 of 1,200 women in six countries confirmed. Here, 74% of respondents liked (“a lot”) the idea of a vegan silk protein to provide “perfect” skin and protect against irritation and pollution; this concept was also rated as “very innovative” by 72% of participants.
Film-forming Design to Mimic Natural Silk
Silk fibroin proteins can self-assemble and create films at interfaces thanks to their semi-crystalline molecular structure. Iterations of these crystalline/amorphous frameworks directly influence film-forming properties. As such, the vegan silk material under discussion was designed with 48 repetitions of the C-Module, which primarily informs the structural behavior of the reference, resulting in a stable high molecular weight molecule (139.9 kDa) capable of forming a dense film that can be customized for application, e.g., to the skin’s surface as a protective layer (see Figure 2, below).
Biological Activity In vitro
To anticipate biological activities of the functional ingredient, glycoprofiling was carried outb that indicated the material interacted with three human lectins: galectin-3, CD44 and layilin. These lectins specifically bound the active, as demonstrated by the dose response effect observed (see Figure 3, below).
Galectin 3 is strongly expressed in keratinocytes and displays pivotal role in inflammatory responses, cell differentiation and maturation,1, 2 whereas CD44 and layilin are involved in cell growth, adhesion and migration.3, 4 CD44 also participates in the recovery of epidermal barrier function upon disturbance.5
Based on the results of Figure 3 showing these glycoproteins are involved in skin structure, barrier function and repair processes, in addition to the interaction between the glycoproteins and vegan silk, the authors proposed the silk material could play a role in these related skin processes.
Biological Activity Ex vivo
Re-epithelialization: As noted, interactions of vegan silk ingredient with CD44 encouraged the exploration of its potential role in maintaining barrier function. To assess this, skin explants from one 50-year-old woman maintained in survival medium were injured by a circular wound, to which 2% of the vegan silk material was applied daily for five days. Five replicates (n = 5) were used for each condition. Histological analysis of explant slices by hematoxylin-eosin staining visualized the re-epithelialization process. Skin biology experts established a cut scoring system to quantify the progress of wound closure. Epidermal regeneration was also followed by immunostaining of cytokeratin 16 (CK16), a marker of the healing process.6
Microscopic observation of skin explant tissue after application of the vegan silk showed an improved recovery of continuous epithelium, compared with the untreated condition (see Figure 4, below). The number of cut closures increased by up to 52% following treatment, compared with the placebo, demonstrating the active accelerated epidermal rehabilitation ex vivo. Application of the test material on injured skin also increased CK16 expression by 33% in the wound area, confirming the higher intensity of the epidermal remodeling process.
The observed wound-healing activity was confirmed in an additional donor (32 years old), shown in Figure 5 (see below).
Re-epithelialization post-UV and pollution exposure: As is well-known, skin is exposed to multiple extrinsic factors belonging to the exposome, such as air pollution and UV rays. To better understand how the vegan silk material responded to daily life conditions, the previous wounding study also was conducted under UV and air pollutant exposure; in this case, using explants from a 32-year-old woman.
The explants were again maintained in survival medium and wounded as previously described. For three days after wounding, the test material was applied daily at 2% and skin explants were simultaneously exposed to 50 J/m² of UVA and 10 mJ/cm² UVB, and urban dustc. Again, cut closure scoring and CK16 immunostaining enabled the re-epithelialization process to be monitored.
Application of the vegan silk material to injured skin additionally exposed to UV and air pollution increased CK16 expression by 23% in the wound area, which can be associated with an increase in epidermal injury repair of 45% (see Figure 5). Thus, the repair activity of the test material was maintained even under stressed conditions.
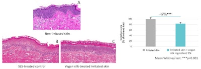
Skin irritation reduction: Chemical irritation is another extrinsic factor that disturbs the barrier function. Since the vegan silk ingredient was shown to bind to galectin-3, which as noted is involved in inflammation, this suggested it might help to alleviate skin irritation.
Thus, human skin explants from female donors 56 years old, on average, were treated to trigger an irritant reaction by twice daily exposure to 2% sodium lauryl sulfate (SLS) for 40 min for four days. After each stress, the explants were topically treated with 2% of the test material and compared with an untreated control. Again, hematoxylin-eosin staining was carried out and skin irritation was scored by skin biology experts.
SLS eroded the stratum corneum, induced oedema and reduced the cohesion of the dermal-epidermal junction in the irritated explants (see Figure 6b, below), compared with untreated explants (see Figure 6a). In response, the vegan silk material reduced signs of skin irritation by 17% (see Figure 6c), per expert scoring. Taken with previous results, this experiment suggested the vegan silk material protected the barrier function by promoting its recovery.
Clinical Efficacy Against Skin Imperfections
Additionally, two in vivo studies were carried out to evaluate the potential immediate and short-term benefits of the vegan silk protein on skin quality. Investigations were conducted in accordance with the declaration of Helsinki, and volunteers signed a written informed consent.
Visible pores: To observe effects on visible pores, a randomized double-blind study was conducted in France in 36 fair-skinned women (ages 41-69) showing skin roughness, who were divided into two groups (n = 18 each) for active vs placebo treatment comparisons.
The test formula comprised: water (aqua), cetyl alcohol, glyceryl stearate, PEG-75 stearate, ceteth-20, steareth-20, isodecyl neopentanoate, 3% vegan silk material (or not, placebo), 1,2-hexanediol (and) caprylyl glycol, phenoxyethanol, dimethicone, ammonium acryloyldimethyltaurate/beheneth-25 metacrylate crosspolymer and fragrance.
The subjects applied a test cream to their face. Skin pore intensity was analyzed by a skin imaging systemd before application and 15 min and 1 hr after application.
The test active:
- showed nearly immediate effects, significantly decreasing visible pore intensity by seven-fold compared with the placebo after only 15 min (see Figure 7, below).
- Pore refining also continued to increase after 1 hr. The speed of this effect suggests a physical mode of action, potentially related to the thin and supple film formed by the vegan silk material on the skin’s surface.
- Based on self-assessment questionnaires, the material also enhanced the feel of volunteers’ skin after 15 min: 79% of women found their skin more comfortable (+16% vs placebo) and 89% felt it was softer (+20% vs placebo).
Pores, sebum and breakouts: The potential protective and regenerative characteristics of the vegan silk material were then clinically evaluated on skin breakouts. A randomized double-blind study was conducted in China in 46 women ages 18 to 40 who were divided into two groups (n = 23 each) for active versus placebo treatment comparisons. Volunteers presented enlarged pores and oily skin characterized by a sebum rate ≥ 140 μg/cm² and at least four breakouts on the face.
Subjects applied a cream to their face containing (or not) the 3% test active twice daily, morning and evening. Observations were made using the same skin imaging systemc and clinical grading by a dermatologist before application and two and 28 days after treatment.
From as early as two days after application, the vegan silk material diminished the number of apparent skin imperfections, reaching a significant reduction of 2.3-fold after 28 days, compared with the placebo (see Figure 8, below); example results are shown in Figure 9.
As can be seen, after 28 days of treatment with the test material, inflammatory spots on the cheeks of one volunteer were greatly diminished or softened, compared with the spots on Day 0 (see Figure 9a-b). In contrast, in the subject applying the placebo formula, no visible improvement was perceived when comparing pictures from Day 0 (Figure 9c) and Day 28 (Figure 9d).
Consumer Perception
Finally, an at-home use test was carried out for 10 days in France in 118 consumers (86% women, 14% men), ages 18 to 55 years old, who received a sample face cream containing the test ingredient. Statistical significance of results compared to Day 0 (before application) was assessed by ANOVA (*p < 0.5 and ***p < 0.001).
Initially, 76% of participants noted improvements in their facial skin aspects. After the first application, 91% liked the product “a lot.” A continuous enhancement in skin quality was perceived by consumers from Day 2 (+15%* vs Day 0), and this feeling increased continuously over the 10 days, reaching +33%* at the end of the test. After 10 days, 65% of volunteers felt their skin aspects improved, with skin complexion enhancement increasing by 27%,*** and the perception of smoothed skin increasing by 30%*** (data not shown).
Conclusion
Described here is a vegan silk-like protein inspired by natural silk protein and crafted using biotechnology. This film-former provided nearly immediate gratification, smoothing skin and refining visible pores by seven-fold versus the placebo only 15 minutes after application.
Beyond functional properties, the material’s barrier protection and biological repair activities helped to reduce skin imperfections by 2.3-fold versus the placebo, and left skin feeling more comfortable and softer. In conclusion, the novel vegan silk protein can act as a protective “veil,” meeting consumer needs for better skin quality.
Footnotes
a Silk-iCare (INCI: Water (Aqua) (and) Silk (and) 1,2-Hexanediol (and) Caprylyl Glycol) is a product of Givaudan Active Beauty.
b GLYcoPROFILE, GLYcoDiag
c NIST, reference: Standard Reference Material 1649b, Sigma-Aldrich
d Visia CR2.3
References
1. Pasmatzi, E., Papadionysiou, C., Monastirli, A., Badavanis, G. and Tsambaos, D. (2019). Galectin 3: An extraordinary multifunctional protein in dermatology. Current knowledge and perspectives. An Bras Dermatol, 94 348-354; doi:10.1590/abd1806-4841.20198426.
2. Larsen, L., Chen, H.-Y., Saegusa, J. and Liu, F.-T. (2011). Galectin-3 and the skin. J Dermatol Sci, 64 85-91; doi:10.1016/j.jdermsci.2011.07.008.
3. Wolf, K.J., Shukla, P., Springer, K., Lee, S., Coombes, J.D., Choy, C.J., Kenny, S.J., Xu, K. and Kumar, S. (2020). A mode of cell adhesion and migration facilitated by CD44-dependent microtentacles. Proc Natl Acad Sci USA, 117 11432-11443; doi:10.1073/pnas.1914294117.
4. Bono, P., Rubin, K., Higgins, J.M.G. and Hynes, R.O. (2001). Layilin, a novel Integral membrane protein, is a hyaluronan receptor. Mol Biol Cell, 12 891-900.
5. Kirschner, N., Haftek, M., Niessen, C.M., Behne, M.J., Furuse, M., Moll, I. and Brandner, J.M. (2011). CD44 regulates tight-junction assembly and barrier function. J Invest Dermatol, 131 932-943; doi:10.1038/jid.2010.390.
6. Paladini, R.D., Takahashi, K., Bravo, N.S. and Coulombe, P.A. (1996). Onset of re-epithelialization after skin injury correlates with a reorganization of keratin filaments in wound edge keratinocytes: Defining a potential role for keratin 16. J Cell BiolI, 132 381-397; doi:10.1083/jcb.132.3.381.
7. Givaudan. (2023 Nov). In-house study, Home Usage Test (HUT) Silk-iCare, 118 consumers aged 18-50.
8. Scheibel, T. (2004, Nov 16). Spider silks: Recombinant synthesis, assembly, spinning and engineering of synthetic proteins. Microbial Cell Factories. Available at https://link.springer.com/article/10.1186/1475-2859-3-14
9. Heidebrecht, A. and Scheibel, T. (2013). Chapter four - Recombinant production of spider silk proteins. Advances in Applied Microbiology, Springer. Preview available at https://www.sciencedirect.com/science/article/abs/pii/B9780124076792000041



















